Non-Tumour Soft Tissue Lumps in the Mouth
Soft tissue swellings of the oral cavity are common findings in dental and medical practice. While the discovery of a lump in the mouth often raises concern about malignancy, the majority of oral soft tissue lumps are non-tumorous. These lesions arise from a variety of causes, including inflammatory reactions, developmental anomalies, reactive hyperplasias, vascular malformations, […]
Dento-Facial Infections
Dento-facial infections are among the most common yet potentially dangerous infections encountered in dental and oral surgery practice. Although many begin as localized odontogenic problems, they can rapidly progress into severe, life-threatening conditions if not recognized and managed promptly. A critical principle in managing dento-facial infections is understanding that antibiotics alone are rarely definitive treatment; […]
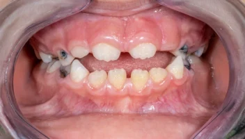
Orthodontic surgical procedures
Orthodontic treatment frequently relies on close collaboration between the orthodontist and the oral surgeon. While many orthodontic problems can be managed with appliances alone, a subset of cases requires adjunctive surgical intervention to achieve optimal functional and aesthetic outcomes. Dento-alveolar surgery encompasses a group of minor oral surgical procedures that facilitate orthodontic tooth movement, eruption, […]
Removal of Third Molars
The removal of third molars, commonly referred to as wisdom teeth, is one of the most frequently performed procedures in oral and maxillofacial surgery and general dental practice. Despite its routine nature, third molar surgery remains a complex and sometimes controversial topic due to variations in indications, surgical difficulty, patient morbidity, and evolving clinical guidelines. […]
Removal of Unerupted Teeth in Dento-Alveolar Surgery
Dento-alveolar surgery forms a fundamental component of oral and maxillofacial surgical practice. Among its many procedures, the removal of unerupted or impacted teeth—other than third molars—represents a distinct and clinically significant category. These teeth often include maxillary canines, premolars, supernumerary teeth, and occasionally mandibular canines or deciduous molars. Their removal may be required to facilitate […]
Principles and Techniques for Removal of Retained Roots
Dento-alveolar surgery forms a core component of oral and maxillofacial surgical practice and is an essential skill for dental practitioners. Among its most common procedures is the removal of retained tooth roots. Root removal may appear deceptively simple; however, it often presents significant clinical challenges due to anatomical limitations, pathological changes, patient-related factors, and proximity […]





