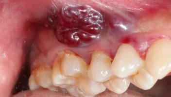
Non-Tumour Soft Tissue Lumps in the Mouth
Soft tissue swellings of the oral cavity are common findings in dental and medical practice. While the discovery of a lump in the mouth often raises concern about malignancy, the majority of oral soft tissue lumps are non-tumorous. These lesions arise from a variety of causes, including inflammatory reactions, developmental anomalies, reactive hyperplasias, vascular malformations, […]
Abnormalities of Tooth Form
Variations in tooth morphology represent one of the most intriguing aspects of dental development and paediatric dentistry. Abnormalities of tooth form may arise due to disturbances during the morphodifferentiation and histodifferentiation stages of tooth development. These anomalies can affect a single tooth or multiple teeth and may involve alterations in size, shape, or internal structure. […]
Abnormalities of Tooth Structure
The structural integrity and appearance of human teeth depend on the harmonious development of enamel, dentin, and cementum. Any disruption during odontogenesis—whether genetic, systemic, or environmental—can result in developmental anomalies that compromise both function and esthetics. Such abnormalities are often evident during childhood and may influence oral health, mastication, and psychosocial well-being. Disturbances in the […]
Saliva Substitutes: A Practical Guide to Comfort and Oral Health
Dry mouth is more than an annoyance. When saliva is scarce or missing, talking, chewing, swallowing, wearing dentures, tasting food, and even sleeping can become a daily struggle. Teeth decay faster, oral infections flare more easily, and the delicate lining of the mouth becomes sore and fragile. If you live with persistent mouth dryness; whether […]
Jaw Joint Clicking: Causes, Diagnosis, and Treatment
Jaw joint clicking, often described as a popping, snapping, or clicking sound when opening or closing the mouth, is one of the most common symptoms of temporomandibular joint (TMJ) disorders. For many, it may seem like a minor inconvenience, but for others, it can be associated with pain, restricted movement, and significant impacts on daily […]
Oral Melanoma: A Rare but Aggressive Malignancy of the Mouth
Melanoma is most commonly associated with skin cancer, where it originates from melanocytes, the pigment-producing cells in the skin. However, melanocytes are also present in other parts of the body, including mucous membranes. When melanoma arises from these mucous membranes, it is termed mucosal melanoma. Oral melanoma, a subtype of mucosal melanoma, originates in the […]





